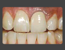
VITA VM®13 ceramic veneering porcelain offers outstanding physical properties, handling characteristics and, due to the homogeneous distribution of both glass phases in the fine microstructure, clinical wear characteristics that mimic those of enamel.
VM 13 has a CTE of 13.1-13.6 and is ideal for veneering metal frameworks that have a coefficient of thermal expansion in the range of 13.8-15.2.
Revolutionary formulation
- Extraordinarily kind to antagonistic dentition.
- Low firing temperature and reduced shrinkage
- Excellent shade cover with the new higher chroma, higher opacity Base Dentines
Dental ceramists will marvel at its modeling characteristics and its structural and color stability through its firing cycles. Grinding and polishing has been made easier and more effective than most other porcelain systems. The esthetic build-up technique has been improved over historical systems by introducing a simpler, more logical approach to shading/layering. Modifiers include Effect Opaques, Effect (tinted) enamels, Mamelons, Gingivas, Effect Pearls and Opal Translucent powders.
VITA’s popular VM13 veneering porcelain offers outstanding physical properties, handling characteristics and, due to its fine microstructure, clinical wear characteristics that mimic those of enamel.
- Low firing temperature and reduced shrinkage
- Excellent shade coverage with high chroma, high opacityBase Dentines
- CTE of 13.1-13.6 for veneering metal frameworks with a CTE of 13.8–15.2
- Extremely low antagonist tooth wear rates
- Optimum firing stability, which preserves shape and shade even after several firings
read more...


