IPS Empress and the Esthetic RevolutionSM held the promise of better dentistry, the promise of changing the lives of dentists and most importantly patients. Today, there is a technological revolution happening in dentistry that presents new opportunities for high strength laboratory fabricated restorations. For the first time, the Esthetic Revolution and Technological Revolution have aligned propelling dentistry to a new horizon.
Today, IPS e.max takes Empress to the max. Designed with simplicity and versatility in mind, IPS e.max allows you to select the most appropriate material - either high strength zirconium oxide or high strength glass ceramic - and the ideal fabrication technique for the case you are completing. A single layering ceramic, IPS e.max Ceram, offers simplicity – ultimately delivering outstanding esthetics, and predictable shade matching even with difficult combination cases.
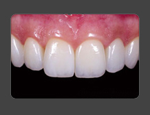
Dental professionals are often faced with challenging cases like the one shown – cases that require the dentist and the technician to balance both strength and esthetic demands. This often requires multiple substructure materials and multiple systems. As a result, it is difficult to fabricate restorations and create a lifelike smile with a consistent vitality. Now, with e.max the dentist and dental technician can work in partnership to restore even the most challenging cases using one high strength conventionally cementable all ceramic system. By writing just one prescription for e.max you can be confident you will be providing your patients with optimized esthetics and strength. Patients will benefit from a highly esthetic smile.
Highlights
- Conventionally Cementable
- Choice of high strength materials including
- zirconium oxide or high strength glass ceramic
- Press and CAD/CAM fabrication techniques optimizing both strength and fit
- One layering ceramic delivering one smile chemistry
- Press on Zirconium Oxide technique
- Outstanding esthetics
Advantages
- Excellent Marginal Integrity
- Superiors Strength and Reliability
- Delivers Metal -Free Restorations
- Results in Patient Satifaction and Acceptance
- Uncompromised Esthetics
- IPS Emax Empress for the higher load situations, extremely high flexural strength, 350 MPa
- Thinner coping enables more flexible esthetic opportunities
read more...


